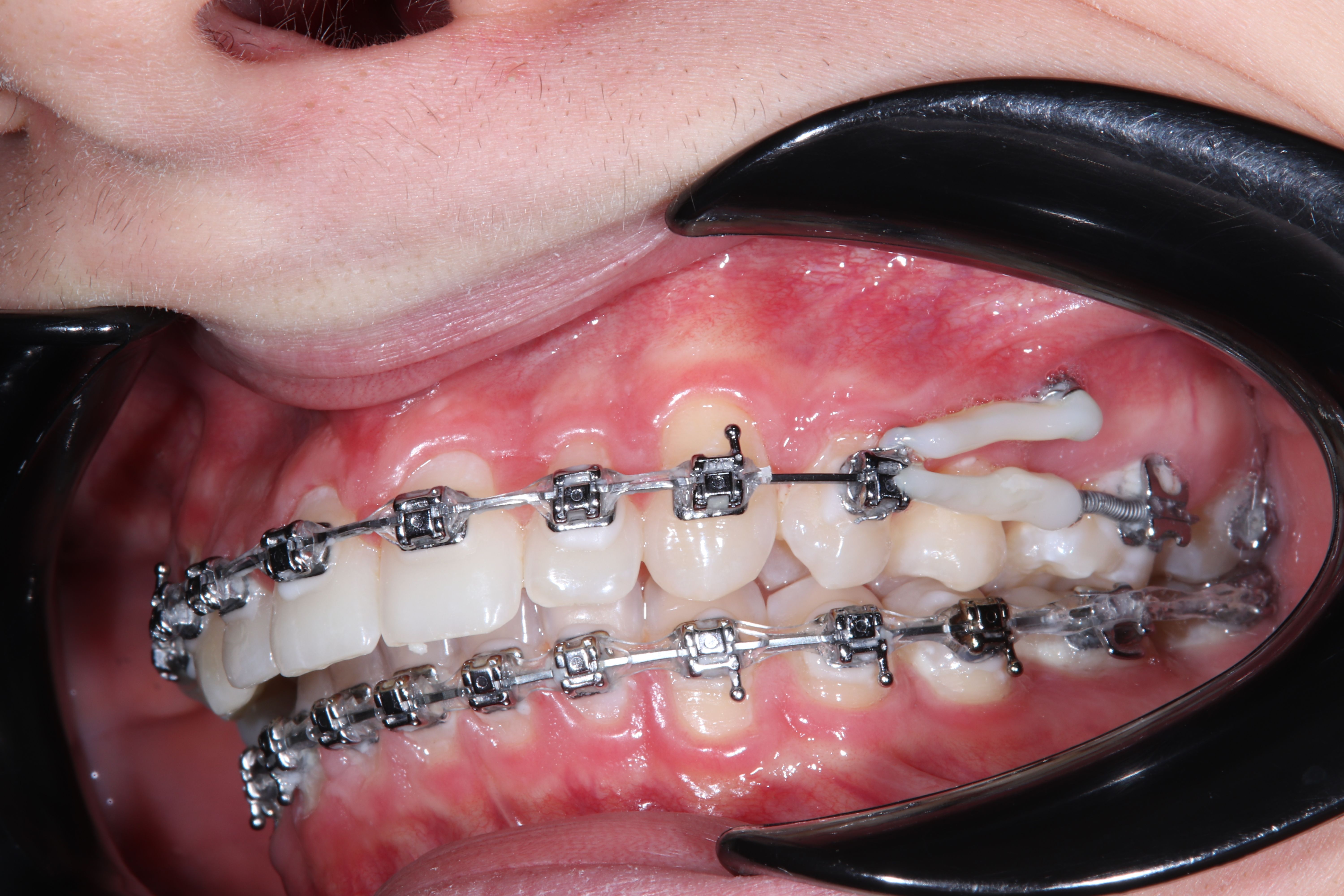
Одно из главных преимуществ — высокая эффективность. Металлическая брекет-система подходит для большинства клинических случаев. Она работает быстро и точно, позволяет ортодонту контролировать каждый этап коррекции.
Дополнительные плюсы:
Кроме того, металлические дуги создают меньшее трение, что может ускорить движение зубов. Поэтому лечение иногда проходит быстрее, чем с другими типами систем.
Существует несколько типов систем. В клинике iZub предлагаются все основные варианты:
Выбор зависит от клинической ситуации и бюджета пациента. Ортодонт подскажет, какая система подойдёт лучше.
Установка металлических брекетов в клинике iZub проходит по стандартной схеме. Это последовательный и контролируемый процесс.
Врач оценивает прикус, делает первичный осмотр, отвечает на вопросы.
Проводятся снимки, фотопротокол, 3D-сканирование или слепки. Это помогает составить план лечения.
На поверхность зубов приклеиваются брекеты. Затем врач устанавливает дугу и активирует систему. Процедура занимает до двух часов.
Пациент приходит на приёмы, во время которых врач регулирует систему и следит за динамикой.
После достижения результата брекеты снимаются. Устанавливаются ретейнеры для закрепления эффекта.
Каждый этап важен. Только при полном соблюдении всех шагов можно гарантировать стабильный результат.
Стоимость металлических брекетов зависит от типа системы, сложности прикуса, длительности лечения и дополнительных процедур. Классические модели стоят дешевле, самолигирующие — дороже.
В клинике iZub цена начинается от 75 000 рублей. В эту сумму входит диагностика, установка и контрольные приёмы. Доступна услуга «металлические брекеты под ключ» — с фиксированной стоимостью и полным сопровождением. Также возможна рассрочка.
Наша клиника проводит установку металлических брекетов в Москве с соблюдением современных стандартов. Мы используем сертифицированные материалы и надёжные ортодонтические системы. Врачи iZub имеют большой опыт и работают с пациентами разного возраста.
Лечение подбирается индивидуально. Мы учитываем анатомию, возраст, образ жизни и бюджет. Проводим точную диагностику, разрабатываем подробный план и сопровождаем пациента на всех этапах. Если вы ищете, где установить металлические брекеты недорого и с гарантией результата, мы предложим оптимальный вариант.
Хотите узнать больше? Оставьте заявку на сайте или позвоните. Специалист клиники ответит на вопросы, подскажет варианты лечения и рассчитает точную стоимость металлических брекетов в Москве.
Начните путь к ровной улыбке уже сейчас — мы поможем вам на каждом этапе.
Нажимая на кнопку, вы разрешаете обработку персональных данных и соглашаетесь с политикой конфиденциальности.
Беспрерывный медицинский стаж всех докторов клиники от 10 до 20 лет. Обязательное ежегодное прохождение курсов, семинаров и повышение квалификации — это условие администрации клиники.
Мы устанавливаем только лучшие имплантационные системы, которые входят в пятерку лидеров по всему миру. Это позволяет дать 100% гарантию на приживаемость и срок службы имплантов.
В клинике установлено новое и современное оборудование производства Южной Кореи, США и Европы. В работе используются только качественные брендовые материалы зарубежных производителей.
Контроль за стерилизацией ведется младшим медицинским персоналом при обработке и администрацией клиники. Обработка и стерилизация инструмента проходит в шесть этапов. Так же используются только одноразовые расходные материалы на каждого пациента.
Каждый сотрудник клиники всегда подскажет и поможет вам сориентироваться, ответив на любые ваши вопросы
Врачи клиники ведут преподавательскую деятельность, являются компетентными и авторитетными профессионалами в своей специальности
Минимум стресса и только настрой на положительный результат
В 3-х минутах Садовое кольцо, м. Павелецкая и всегда свободная парковка рядом с клиникой.
Несколько банков партнеров позволяют оформить рассрочку на любой вид лечения и произвести оплату любым удобным способом.
История пациента
Всё началось четыре года назад. Я обратилась в одну из поликлиник с жалобами на дискомфорт в области челюсти. К сожалению, обследование прошло поверхностно: без скринингов​,...
История пациента
Всё началось четыре года назад. Я обратилась в одну из поликлиник с жалобами на дискомфорт в области челюсти. К сожалению, обследование прошло поверхностно: без скринингов​, без КТ​ и МРТ​. На основании лишь первичного осмотра мне установили капу, которая в итоге оказалась неподходящей. Со временем проблема не исчезла, а только усугубилась. Боль и дискомфорт периодически возвращались, что серьёзно мешало повседневной жизни. Я понимала: нужно искать другое решение. Тогда я обратилась в другую поликлинику, но уже к доктору Георгию Вячеславовичу. Подробно описала свою ситуацию: рассказала про предыдущий опыт, про капу, которая не помогла, и про симптомы, которые меня беспокоят. Георгий Вячеславович сразу проявил внимание и профессионализм. Он внимательно выслушал, провёл тщательный осмотр и сразу предположил, что проблема связана с ВНЧС (височно‑нижнее челюстным суставом). В отличие от предыдущего случая, доктор не стал спешить с выводами — он объяснил, какие исследования нужны для точной диагностики. По его направлению я прошла необходимые обследования, включая: КТ височно‑нижнечелюстного сустава; дополнительные скрининги. Результаты подтвердили первоначальный диагноз Георгия Вячеславовича. Стало ясно, что именно дисфункция ВНЧС​ была причиной моих проблем, а предыдущая капа лишь маскировала симптомы, не устраняя корень проблемы. После постановки точного диагноза мы разработали план лечения. Он включал: 1. Коррекцию прикуса с помощью новой, индивидуально подобранной капы​. 2. Курс физиотерапии​ для расслабления мышц челюсти. 3. Упражнения для восстановления подвижности сустава. 4. Регулярные контрольные осмотры для отслеживания прогресса. Постепенно состояние стало улучшаться. Боль ушла, дискомфорт больше не беспокоит, а движения челюсти стали плавными и безболезненными. Сейчас я благодарна Георгию Вячеславовичу за его профессионализм, внимательность и терпение. Его подход, тщательная диагностика перед лечением кардинально изменил ситуацию и помог мне вернуть комфорт в повседневной жизни. Если вы столкнулись с похожими проблемами, мой совет: не бойтесь искать второго мнения и настаивать на полноценном обследовании. Правильный диагноз — первый шаг к выздоровлению!
Понравилось
Хочу выразить огромную благодарность Георгию Вячеславовичу - потрясающему врачу с высочайшим уровнем профессионализма! Что особенно впечатляет - он подходит к лечению индивидуально. Каждый этап терапии подробно объясняет: что и зачем нужно делать, какие действия разрешены, а от чего лучше воздержаться. Никаких общих фраз - только чёткие и понятные инструкции. Георгий Вячеславович не просто лечит, а искренне заботится о пациентах. Он всегда на связи: может сам позвонить, чтобы узнать о самочувствии, уточнить динамику состояния. Отдельно отмечу его системный подход: врач контролирует, сколько сеансов физиотерапии я прошла и как часто посещаю процедуры. Если замечает малейшие нюансы, сразу предлагает дополнительный осмотр, чтобы не допустить осложнений. Благодаря такому вниманию и профессионализму лечение проходит максимально эффективно. Чувствуется, что доктор действительно переживает за результат. Очень рекомендую Георгия Вячеславовича как компетентного и чуткого специалиста!
История пациента
Я впервые обращалась к данному врачу. При выборе специалиста ориентировалась на оценки и отзывы. У нас была онлайн-консультация.
Понравилось
После аудио-консультации ...
История пациента
Я впервые обращалась к данному врачу. При выборе специалиста ориентировалась на оценки и отзывы. У нас была онлайн-консультация.
Понравилось
После аудио-консультации у меня остались положительные впечатления. Я обратилась к гнатологу по поводу проблем с суставом. Предоставляла врачу результаты исследований и прошлые выписки, Карина Юрьевна наглядно показала, где и какие есть проблемы на снимках. Дополнительно ничего сдавать не потребовалось. Специалист прописала рекомендации по лечению и общего плана. На данный момент об эффективности терапии пока рано говорить. В общении доктор располагает к себе, она вежливая и доброжелательная. Врач доносила информацию простыми словами. Приём начался вовремя и длился полчаса, уделённого времени было достаточно, мы закончили не из-за нехватки времени, а потому что у меня не осталось никаких вопросов, спешки не заметила. Я бы посоветовала данного специалиста другим людям.
История пациента
Обратилась к врачу по поводу имплантации, давно откладывала этот вопрос, но решила заняться здоровьем. Выбрала Севастину Фаину Михайловну по рекомендациям и отзывам,...
История пациента
Обратилась к врачу по поводу имплантации, давно откладывала этот вопрос, но решила заняться здоровьем. Выбрала Севастину Фаину Михайловну по рекомендациям и отзывам, и не пожалела. Это была процедура имплантации. Всё прошло спокойно и аккуратно, врач подробно объясняла каждый этап, поддерживала и отвечала на все вопросы. Общее впечатление очень положительное: чувствуется профессионализм и внимательное отношение к пациенту. Из достоинств: аккуратность, тактичность и уверенность врача. Недостатков для себя не отметила. Приём полностью оправдал ожидания, лечение помогло, результатом довольна.
История пациента
Я обратилась в клинику «Айзуб» к гнатологу. У меня было что-то с ВНЧС. Очень быстро подобрали план лечения, направили сразу же на МРТ​ и КТ​....
История пациента
Я обратилась в клинику «Айзуб» к гнатологу. У меня было что-то с ВНЧС. Очень быстро подобрали план лечения, направили сразу же на МРТ​ и КТ​. Изготовили сплинт тоже очень быстро, направили на сплинт-терапию​. По цене все отлично.
Понравилось
Все понравилось.
Не понравилось
Все отлично.
История пациента
Боль в зубах.
Понравилось
Хочу поблагодарить врача-ортопеда за профессионализм и внимательное отношение. Обратилась с болью — доктор провёл тщательный осмотр, подробно...
История пациента
Боль в зубах.
Понравилось
Хочу поблагодарить врача-ортопеда за профессионализм и внимательное отношение. Обратилась с болью — доктор провёл тщательный осмотр, подробно объяснил причину проблемы и назначил эффективное лечение. Уже через несколько недель почувствовала заметное улучшение. Рекомендую как грамотного и чуткого специалиста.
История пациента
Обратился с жалобами на хруст и болезненность ВНЧС. Врач провёл тщательную диагностику, назначил сплинт. Лечение прошло поэтапно, с контролем динамики. Сейчас чувствую...
История пациента
Обратился с жалобами на хруст и болезненность ВНЧС. Врач провёл тщательную диагностику, назначил сплинт. Лечение прошло поэтапно, с контролем динамики. Сейчас чувствую себя отлично, челюсть открывается свободно, без щелчков. Рекомендую как высококлассного специалиста.
История пациента
Долго искал грамотного гнатолога, были хрусты в суставе и напряжение в лице. Здесь понравилось всё: диагностика, отношение, объяснения на понятном языке. Сплинт сделали...
История пациента
Долго искал грамотного гнатолога, были хрусты в суставе и напряжение в лице. Здесь понравилось всё: диагностика, отношение, объяснения на понятном языке. Сплинт сделали быстро, подгоняли несколько раз, чтобы было идеально. Результат - ушла скованность в челюсти и перестали беспокоить утренние боли. Рад, что попал именно сюда.
История пациента
Я обратилась впервые в конце 2025 года с проблемой ВНЧС. Мне провели консультацию, отправили на обследование. И сейчас я прохожу лечение. Весь персонал клиники очень...
История пациента
Я обратилась впервые в конце 2025 года с проблемой ВНЧС. Мне провели консультацию, отправили на обследование. И сейчас я прохожу лечение. Весь персонал клиники очень вежливый, тактичный. Всегда встречают с улыбками. Лечиться здесь одно удовольствие. Врачи очень компетентные. Мне никогда так тщательно не лечили зубы. Всегда показывают процесс и рассказывают нюансы. На данный момент посещаю Маслова Г. В. с проблемой ВНЧС. Параллельно лечу кариесы​ у Гурдаева Р. Р. Была на гигиене у Верпеки Е. Т. В общем, я уже постоянный клиент. И очень рада, что попала именно в эту клинику!
Понравилось
Профессионализм, атмосфера.
Не понравилось
Недостатков нет.
История пациента
Искала хорошего гнатолога по отзывам и не ошиблась, обратившись сюда. Челюсть щелкала при каждом открытии рта, иногда её даже «заклинивало». Доктор очень деликатно ...
История пациента
Искала хорошего гнатолога по отзывам и не ошиблась, обратившись сюда. Челюсть щелкала при каждом открытии рта, иногда её даже «заклинивало». Доктор очень деликатно подошел к проблеме. Лечение было системным, без лишних назначений. Сейчас всё функционирует нормально, дискомфорт ушел. Если вам нужен врач, который действительно разбирается в работе зубочелюстной системы, смело идите к нему.
История пациента
Пришла сюда за консультацией к ортодонту Карине по поводу брекетов.
Понравилось
Прошла почти всех врачей, и все они высококвалифицированны. Приемы проходят в максимальном...
История пациента
Пришла сюда за консультацией к ортодонту Карине по поводу брекетов.
Понравилось
Прошла почти всех врачей, и все они высококвалифицированны. Приемы проходят в максимальном комфорте. Клиника опрятная и чистая. Очень приятный администратор, всегда подберет удобное время для записи.
История пациента
Заболела челюсть, было множество посещений к врачам, обратились в данную поликлинику.
Понравилось
Очень хорошая стоматология​, все чисто и аккуратно. Вас...
История пациента
Заболела челюсть, было множество посещений к врачам, обратились в данную поликлинику.
Понравилось
Очень хорошая стоматология​, все чисто и аккуратно. Вас встретят очень по-доброму, предложат чай или кофе. Очень хороший коллектив, все отзывчивые и общительные. Никогда не задерживается прием, все четко по времени, врач очень хороший Георгий Вячеславович и весь персонал. Я лечусь именно у Георгия, и это врач своего дела, он все объяснит четко и понятно без проблем.
История пациента
Обратилась к гнатологу из-за щелчков в челюсти. Врач назначил сплинт-терапию​, которая оказалась эффективной - хрусты и дискомфорт уменьшились. Доктор...
История пациента
Обратилась к гнатологу из-за щелчков в челюсти. Врач назначил сплинт-терапию​, которая оказалась эффективной - хрусты и дискомфорт уменьшились. Доктор дал полезные рекомендации и показал упражнения. Очень довольна лечением и рекомендую специалиста!
История пациента
Прохожу ортопедическое и ортодонтическое лечение уже 2 года.
Понравилось
Отличная клиника, чисто, красиво в помещении. Современное оборудование и системы. Вежливый персонал,...
История пациента
Прохожу ортопедическое и ортодонтическое лечение уже 2 года.
Понравилось
Отличная клиника, чисто, красиво в помещении. Современное оборудование и системы. Вежливый персонал, профессиональные врачи! Все процедуры - на высшем уровне, четко, аккуратно и безболезненно. Хочется обращаться только сюда, т. к. уверен в качестве и безопасности, здесь точно справятся с любым вопросом и обращением.
История пациента
Прохожу сейчас лечение у доктора. Пока все проходит гладко, но про результат пока говорить рано, но первые результаты становятся заметнее. Нареканий нет, очень вежливое...
История пациента
Прохожу сейчас лечение у доктора. Пока все проходит гладко, но про результат пока говорить рано, но первые результаты становятся заметнее. Нареканий нет, очень вежливое общение и качественная мед. обслуживание.
Понравилось
Вежливое общение и качество работы. Мои брекеты установлены надежно, никогда ничего у меня не отпадало.
Не понравилось
Информация бывает расплывчатой, я плохо понимаю план лечения, но пока все идет хорошо, доверяю доктору.
История пациента
Обратился к гнатологу с проблемой боли и дисфункции челюстного сустава. Врач провёл детальную диагностику, объяснил причину воспаления и составил чёткий план лечения....
История пациента
Обратился к гнатологу с проблемой боли и дисфункции челюстного сустава. Врач провёл детальную диагностику, объяснил причину воспаления и составил чёткий план лечения. Проходил терапию сустава под его контролем, все этапы сопровождались комментариями и рекомендациями. Уже в процессе лечения почувствовал значительное облегчение: уменьшилась боль, снизилось напряжение, движения челюсти стали свободнее. Очень внимательный, грамотный специалист, который действительно разбирается в своей области. Благодарен за профессионализм и качественную помощь — результатом полностью доволен.
История пациента
Очень благодарна врачу-гнатологу за профессиональное лечение! Обращалась с щелчками, хрустом и болью в челюсти — прошла сплинт-терапию​ и лечение сустава....
История пациента
Очень благодарна врачу-гнатологу за профессиональное лечение! Обращалась с щелчками, хрустом и болью в челюсти — прошла сплинт-терапию​ и лечение сустава. Уже в процессе заметила улучшения, а сейчас дискомфорт практически исчез. Врач внимательный, всё подробно объясняет и действительно помогает. Рекомендую!
Понравилось
Обслуживание.
История пациента
Обратилась к гнатологу с сильными щелчками и болью в челюстном суставе. До этого несколько специалистов говорили, что «ничего страшного», но проблема только усиливалась....
История пациента
Обратилась к гнатологу с сильными щелчками и болью в челюстном суставе. До этого несколько специалистов говорили, что «ничего страшного», но проблема только усиливалась. Здесь мне провели полноценную диагностику, объяснили причину, из-за которой была боль, и назначили сплинт-терапию​. Уже через пару недель стало заметно легче - ушёл хруст, уменьшилось напряжение в мышцах лица и шеи. Очень благодарна врачу за внимательность, профессионализм и подробные объяснения на каждом этапе лечения.
История пациента
Обратилась в клинику в связи с проблемой с челюстью. Прием прошел хорошо, всё понятно объяснили, рассказали подробно о моей проблеме и назначали лечение.
Понравилось...
История пациента
Обратилась в клинику в связи с проблемой с челюстью. Прием прошел хорошо, всё понятно объяснили, рассказали подробно о моей проблеме и назначали лечение.
Понравилось
Очень вежливый и приятный персонал. Очень комфортно проходить здесь лечение.
История пациента
Обратилась к врачу, чтобы он вылечил мой кариес​ и подготовил зуб к установке коронки​.
Понравилось
Очень внимательный и добрый доктор. ...
История пациента
Обратилась к врачу, чтобы он вылечил мой кариес​ и подготовил зуб к установке коронки​.
Понравилось
Очень внимательный и добрый доктор. Всегда вежлив, аккуратен. [...] Большое спасибо ему за лечение.
История пациента
Я обратилась в клинику с болью в ВНЧС, сейчас прохожу сплинт-терапию​ и в дальнейшем планирую установку элайнеров.
Понравилось
Прекрасные администраторы...
История пациента
Я обратилась в клинику с болью в ВНЧС, сейчас прохожу сплинт-терапию​ и в дальнейшем планирую установку элайнеров.
Понравилось
Прекрасные администраторы и врачи, всегда чувствуется забота, и все стараются подстроить записи как можно комфортнее.
Продолжая работу с izub.ru, вы подтверждаете использование сайтом cookies вашего браузера с целью улучшить предложения и сервис на основе ваших предпочтений и интересов.